Tissue Sparing ImplantTM (TSITM) Total Hip Stem Designs :: Bearing Materials - A New Approach to Reduction of Wear :: Proximal Modular Cementless Titanium Stem :: Surgical Navigation :: Patella Femoral Joint Disease :: Contemporary Cementing Techniques :: Intrinsic Modular Indexable Neck
Bearing Materials
A New Approach to reduction of wear
“The Buffer” Implant polycarbonate urethane (PCU)
Ideally, the surfaces for articulation will be made from materials having high strength, low wear, corrosion resistance and low friction moments. Polycarbonate urethane (PCU) has been developed into a new approach for replacement of the polyethylene side of the bearing surface. Benefits include:
- Less Wear
- Less Debris
- Hydrophilic
- More Natural Stress Distribution
- Biocompatible
- Tissue Sparing (hard & soft)
- Less Cost
A novel approach to using the properties of PCU to create designs that mimic the primary function of cartilage is now available, it's called “Tribofit®, The BufferTM Implant”.
- Provides a smooth, lubricated surface to facilitate movement with little friction between articulating surfaces
- Transmits and distributes high compressive loads to the subchondral bone
- Allows for joint congruity and the maintenance of low contact stress between opposing bones
- Thus providing for true tissue preserving designs and techniques
Wear Studies

Wear testing of PCU versus conventional UHMWPE, performed at University of Mississippi in 2008.
Modulus of Elasticity (MPa)
More Natural Function with a Cartilage-Like Material
- Femoral Cartilage 25% Thicker Than Acetabulum
- AIC Buffer Implant Matches Normal Acetabular Cartilage Thickness
|
PCU is Polycarbonate Urethane
UHMWPE is Ultrahigh Molecular Weight Polyethylene
Pinchuk LS, Nikolaev VI, Tsvetkova, EA and Goldade VA: Tribology and Biophysics of Artificial Joints. Tribology and Interface Engineering Series, No. 50, B.J. Briscoe Editor, Elsevier, 2006, 176.
Dowson D, Fisher J, Jin ZM, Auger DD, and Jobbins B: Design Considerations for Cushion Form Bearings in Artificial Hip Joints. Proc. Instn. Mech Engrs, 1991, 205:59-68. |
The TriboFitTM Acetabular Buffer Implant features a pliable bearing sur face - specifically formulated, biocompatible polycarbonate urethane (PCU), the Buffer Implant material has a modulus of elasticity and thickness similar to that of healthy acetabular cartilage, and thus ser ves to help mimic the cushioning and stress distribution that occurs in a healthy human hip joint.
The BufferTM Implant component has a modulus closer to cartilage than traditional bearing materials (metal, ceramic, Ti Alloy and Co-C.
Examples of TribofitTM Buffer Implant from Instituto Ortopedico Rizzoli Clinica Orthopedica dell’ Universita di Bologna Director Professor Sandro Giannini

- Truly bone Sparing
- Only the cartilage is removed
- No acetabular bone reaming

To date we are encouraged by the early basic and clinical science. We will continue to expand our clinical surgical experience with “The BufferTM” Implant .
Publications
You will need the Adobe Reader to view and print these documents.
Historical Review
Wear and the generation of particulate debris continues to be a significant problem in the longevity of total joint devices.1,2 Polyethylene and metal have been the material of choice since the 1960’s. Some researchers believe polyethylene to be the weakest link in THA prosthetic design.
Metal on Metal Bearings
| 1930’s Phillip Wiles from the UK designed and inserted the first MoM THA. |
 |
George Kenneth McKee
 |
He developed various cementless MoM implants in the 1940’s and 1950’s.
McKee’s cement fixed McKee-Farrar THR from 1960 was the first widely used THR. |
 |
 |
Peter Ring from Surrey, developed a cementless MoM designed for self-locking. |
 |
 |
Sivash 1960’s developed the first fixed fulcrum with a c.c. head/cup with a titanium stem.
Sivash, Russin & Noiles 1970’s improved the design that eventually led to the S- Rom® Stem |
 |
MoM bearing surfaces have encountered varied results over the years. The ability of offering larger diameter heads has increased the usage of MoM as one of the mechanisms to reduce hip dislocations. However, issues have been raised with regards to cup spinout, high trace elements, and metal sensitivity.
 |
 |
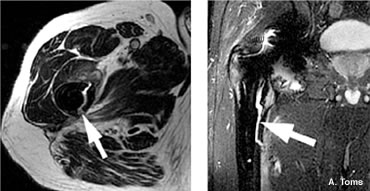
| MOM Bone Necrosis - A. Toms |
L. Keppler - cup spin out 7 weeks post-op |
 |
 |
| Thomas 2003 - Hypersensitivity to metals |
MoM cup migration 2 years post-op |
 Professor Sir John Charnley was convinced that the metal on metal articulation of the McKee joint was unsatisfactory. He performed experiments to show that the McKee joint had high frictional torque in the laboratory and he predicted that this would eventually loosen the fixation of the McKee components in their bony bed.
He was convinced that the natural elastohydrodynamic lubrication with synovial fluid could not be used to reduce the frictional torque of the metal on metal articulation and he began his search for self lubricating bearings.
This search took him into the field of polymers and his first attempt at hip arthroplasty in the early 1950's was a Teflon on Teflon bearing used as a resurfacing for the arthritic femoral head and acetabulum. Unfortunately the Teflon on Teflon bearings wore out within two years.
Basic Problems
It has been almost three decades since Willert first describe the problem of polyethylene wear leading to peri-prosthetic inflammation, granuloma, bone resporption and implant loosening.3 Since then many publications have discussed this subject.4,5,6,7 Issues have been raised with current materials (MoM, CoC, MoP) from squeaking, high trace elements, strength and implant stability.8,9,10,11,12,13,14
The following are examples of polyethylene failed devices and induced osteolysis
| UHMWPE |
XLPE |
 |
 |
Substantial wear reductions have been made with crosslinking technology when compared to traditional poly. However, crosslinking compromised the material's properties and created a new set of problems in dealing with strength issues.
Over all, volume of wear generation is less with XLPE poly. However, there is growing concern on the behavior of the smaller and potentially more reactive particles generated with crosslinking of polyethylene.
|
Polyethylene insert rim failures. |
 |
 |
Currier BH, Currier JH, Mayor MB, Lyford KA, Collier JP, Van Citters DW,: Evaluation of Oxidation and Fatigue Damage of Retrieved Crossfire Polyethylene Acetabular Cups. Journal of Bone and Joint Surgery. 89: 2023-2029, 2007 |
 |
Tower SS, Currier JH, Currier BH, Lyford KA, Van Citters DW, Mayor MB: Rim Cracking of the Cross-linked LongevityTM Polyethylene Acetabular Liner After Total Hip Arthroplasty. Journal of Bone and Joint Surgery. 89: 2212-2217, 2007. |
| Ceramic head and metal shell failure. Complete wear-through poly 28mm insert.15 |
 |
| Polyethylene induced osteolysis. |
 |
Ceramic on Ceramic
Recognized for low wear, no metal ion release however fatigue issue can be a problem resulting in component fracture, intraoperative chipping, and now reported articulation noise in the form of squeaking.
Fractures occur for a reason
- Patient related - excessive demand, trauma, dislocations, etc.
- Surgical technique such as poorly positioned components
- Design related
Articulation noise (squeaking) can be multi-factorial
- Implant position (impingement, edge loading, subluxation)
- Many factors can contribute to squeaking
- It is a hard on hard articulation issue
- Components design, material and quality are part of the issue
- Emerging reports indicate that it is transient
Improvements have been made.

References:
- Bobyn, J. D., Collier, J. P., Mayor, M. B., McTighe, T., Tanzer, M., and Vaughn, B. K.: Particulate Debris In TOTAL HIP ARTHROPLASTY: “PROBLEMS AND SOLUTIONS” 1993 AAOS Scientific Exhibit
- Treharne, R., and McTighe, T., A NOVEL APPROACH TO REDUCTION OF WEAR IN THA. 2008 ISTA Poster Exhibit
- Willerrt, H.G., and Semlitsch, M.: REACTIONS OF THE ARTICULAR CAPSULE TO WEAR PRODUCTS OF ARTIFICAL JOINT PROSTHESES. J. Biomed. Meter. Res. 11:157, 1977
- Howie, D. W.,:TISSUE RESPONSEINRELATIONTOTYPEOF WEAR PARTICLES AROUND FAILED HIP ARTHROPLASTIES. J. Arthrop. 5:337, 1991
- Schmalzried, T.P., Jasty, M., Harris, W.H.: PERIPROSTHETIC BONE LOSS IN THA, POLYETHYLENE WEAR DEBRISAND THE CONCEPTOF THE EFFECTIVE JOINT SPACE. J. Bone Joint Surg. 74A:849, 1992
- McTighe, T., Ko, Y., Bennett, R. B., and Adams, J.: A NEW APPROACH TO BEARING SURFACES FOR TOTAL HIP ARTHROPLASTY. 1994 AAOS Poster Exhibit
- McTighe, T., Trick, L., and Koeneman, J.B.,: DESIGN CONSIDERATIONS FOR CEMENTLESS TOTAL HIP ARTHROPLASTY. Encyclopedic Handbook of Biomaterials & Bioengineering Part B Vol 1 1995 Markel Dekker
- Dorr, L., : IMPLANT PERFORMANCE OBSERVATIONS. Letter to AAHKS Members April 22, 2008
- Lhotka, et al., JOR 2003
- Landon, D., Doherty, A., Newson, R.,Turner, J., Bhamra, M.: CELLULAR TOXICITY. J. Arthroplasty 2004; 19:78-83
- Visuri, T., Pukkala, E., Paavolainen, P., Pulkkinen, P., Riska E.B.:CANCER RISK. Clin Orthop and Related Res 1996; 329 Suppl: 280-289
- Ziaee, H., Daniel, J., Datta, A. K., Blunt, S., McMinn, D. J. W.: TERATOGENCITY> JBJS 2007; 89:301-305
- Jones, D. A., Lucas, K., O’Driscoll, M., Price, C.H.G., and Bristol, B.W.:COBALT TOXICITY AFTER MCKEE HIP ARTHROPLASTY. JBJS 1975; 57: 289-296
- Carbone, A., Howie, D.W. et al.: aging performance of a compliant layer bearing acetabular prosthesis in an ovine hip arthroplasty model. The Journal of Arthroplasty Vol, 21 No. 6, 2006
- Tsaroughas, A., Iosifidis, M., et al.: PROTRUSION OF THE CERAMIC HEAD THROUGH THE ACETABULAR SHELL IN TOTAL HIP REPLACEMENT.
ORTHOPEDICS 2008; 31:812
|